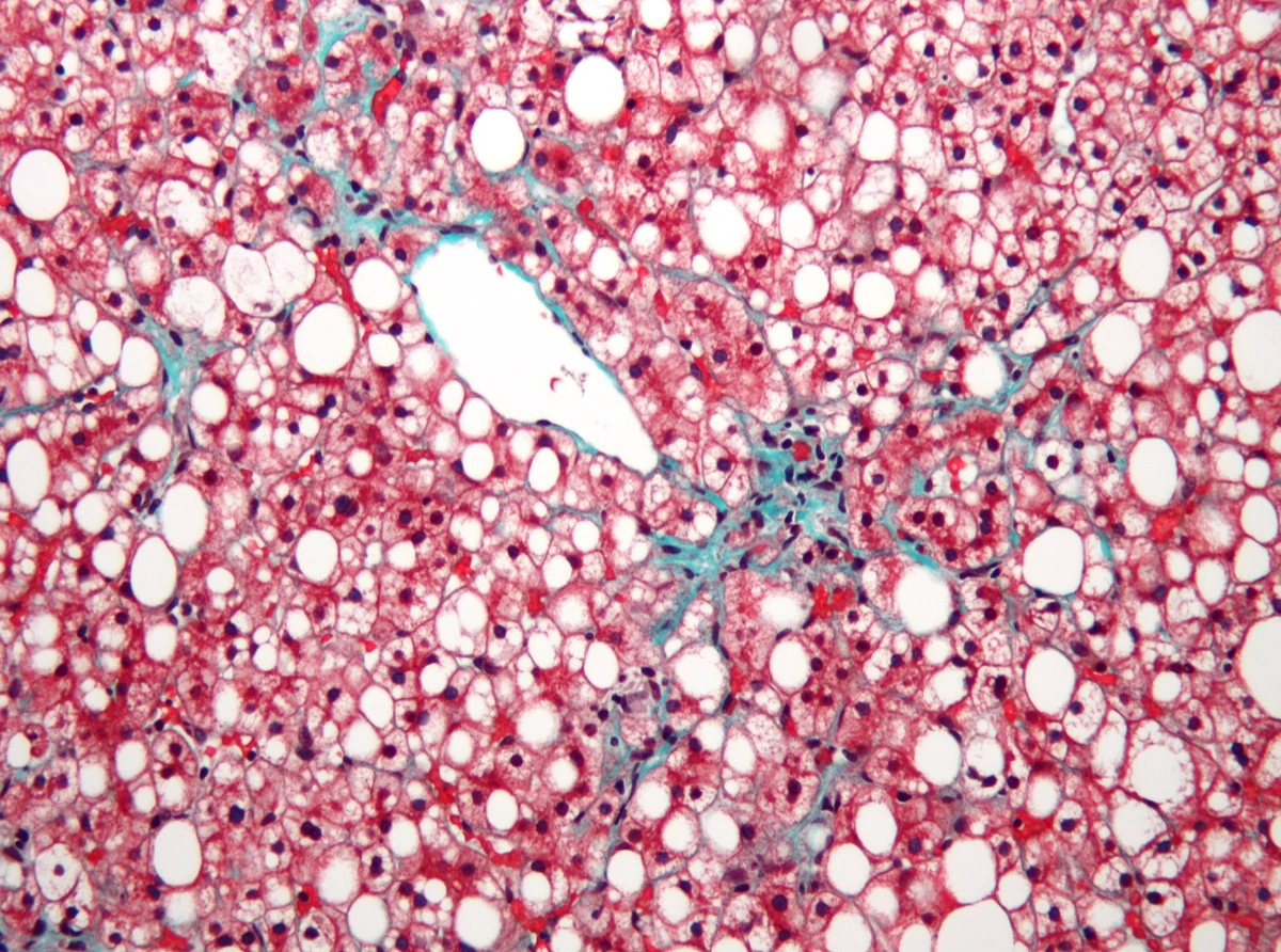
Možná to znáte taky – stačí pár let ne úplně vzorné životosprávy, občasný stres zajedený něčím tučným a doktor vám při kontrole oznámí, že vaše játra začínají připomínat „ztučnělou paštiku“. Jde o problém, který dnes trápí skoro třetinu dospělých Čechů, a co je nejhorší, zatím na něj nemáme žádný zázračný lék v pilulce.
Nedávno mě ale zaujala studie z Hebrejské univerzity v Jeruzalémě, která staví naše dosavadní znalosti na hlavu. Vědci totiž zjistili, že dvě látky obsažené v konopí dokážou proces ztučnění jater doslova zvrátit. A ne, nepotřebujete k tomu žádné psychoaktivní stavy, o kterých se mluví v souvislosti s THC.
O co vlastně jde? Zapomeňte na "rauš"
V hlavní roli se představují dvě sloučeniny: dobře známé CBD (kanabidiol) a jeho méně nápadný, ale o to výkonnější sourozenec CBG (kanabigerol). CBG se v odborných kruzích přezdívá „matka všech kanabinoidů“, protože z něj ostatní látky v rostlině teprve vznikají.
Klíčové je, že tyto látky:
- Nezpůsobují omámení, takže mozek zůstává zcela čistý.
- Snižují hladinu tuku v jaterních buňkách.
- Zlepšují citlivost na inzulin, což ocení každý, kdo si hlídá cukr.
Jak to funguje v praxi?
Většina z nás si myslí, že kanabinoidy fungují jen přes receptory v mozku nebo v trávicím traktu. Ale tady přišlo překvapení. CBD a CBG totiž fungují jako jakýsi „energetický restart“ pro jaterní buňky. Stimulují produkci fosfokreatinu, což buňkám pomáhá lépe hospodařit s energií a efektivněji „uklízet“ nashromážděné tuky.

CBG jako nečekaný vítěz testu
I když je CBD v českých e-shopech a lékárnách k dostání na každém rohu, studie ukázala, že CBG bylo v boji s tukem ještě o krok napřed. Výrazněji snižovalo „špatný“ cholesterol a pomáhalo s úbytkem tělesného tuku u subjektů s vysokokalorickou dietou.
Ale pozor, je tu jeden háček, který v praxi často přehlížíme. Pokud si koupíte nejlevnější CBD olej u čerpací stanice, pravděpodobně nedosáhnete stejných výsledků jako vědci v laboratoři. Ti totiž používali čisté látky a jiný způsob podání.
Malý tip pro vaše játra (zatím bez konopí)
Než se tyto látky dostanou do standardních léků, můžete svým játrům pomoci hned teď. Místo hledání zázraků v lahvičce zkuste jednu věc:
Zkuste metodu 80/20. Nejde o dietu, ale o poměr. Pokud 80 % vašeho dne tvoří přirozené potraviny (zelenina, kvalitní bílkoviny) a jen 20 % ty zpracované, vaše játra dostanou prostor pro regeneraci, který nezajistí žádný suplement na světě.
Mimochodem, co si o léčbě pomocí látek z konopí myslíte vy? Je pro vás tato cesta přijatelná, nebo ve vás stále vyvolává spíše nedůvěru?